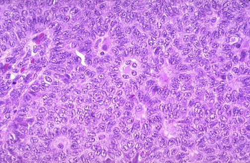
At higher magnification, an ovarian granulosa cell tumor has nests of cells which are forming primitive follicles.