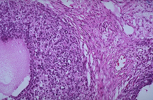
Microscopically, the granulosa cell tumor attempts to form structures that resemble primitive follicles, as seen at the left. Most of these tumors are histologically benign, but some are malignant.