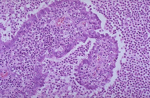
A remnant of tubal epithelium is seen here surrounded and infiltrated by numerous neutrophils. This is acute salpingitis. Neisseria gonorrheae was cultured.