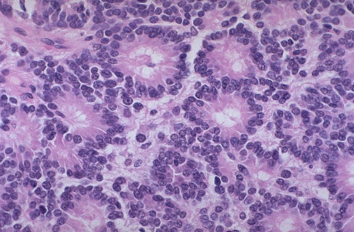
Retinoblastoma is one of the "small blue cell tumors" of childhood. The characteristic microscopic pattern is the circular arrangement of the small blue cells into Flexner-Wintersteiner "rosettes" as shown here.