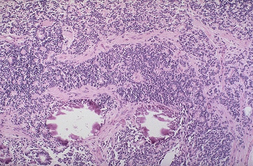
Retinoblastoma is one of the "small blue cell tumors" of childhood. Necrosis and dystrophic calcification are common histologic findings within this tumor. At low magnification, two small calcifications can be seen below center.