
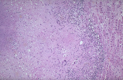
| Years ago, and still today in places with a high incidence of active tuberculosis with dissemination from the lungs, the most common cause for Addison disease is granulomatous inflammation and adrenal cortical destruction. Infections such as histoplasmosis can produce similar findings. Note the caseous necrosis, the Langhans giant cells, and the residual cortex seen here. |
![]() |