
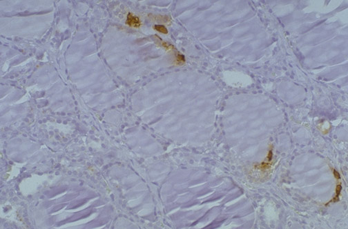
| This immunohistochemical stain with antibody to calcitonin identifies the "C" cells (parafollicular cells) of the thyroid interstitium between the follicles, or adjacent to the epithelium of follicles. These parafollicular cells secrete calcitonin, which has minimal impact upon calcium regulation. |
![]() |