
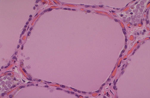
| This normal thyroid follicle is lined by a cuboidal follicular epithelium with cells that can add or subtract stored colloid depending upon the degree of stimulation from TSH (thyroid stimulating hormone) released by the anterior pituitary gland. As in all endocrine glands, the interstitium has a rich vascular supply into which hormone is secreted. |
![]() |