
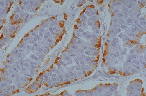
| At higher power, the immunohistochemical staining pattern with antibody to ACTH is shown in this carcinoid tumor. Carcinoids are capable of secreting a variety of hormones. Gastrin secretion can lead to the Zollinger-Ellison syndrome (multiple gastric ulcers). The "carcinoid syndrome" (quite rare) from serotonin secretion is typically a result of a malignant carcinoid that has metastasized to the liver. The paraneoplastic effect may be apparent first, and a search for the occult neoplasm ensues. |
![]() |