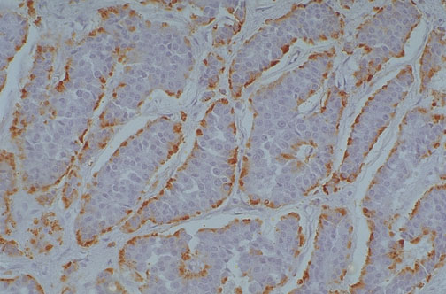
This immunohistochemical stain with antibody to ACTH demonstrates cytoplasmic staining of the cells in this carcinoid tumor. This patient had Cushing syndrome due to ectopic ACTH production from this carcinoid tumor.