
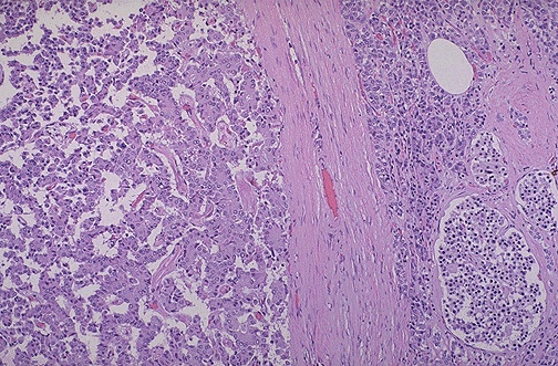
| The islet cell adenoma at the left contrasts with the normal pancreas with islets at the right. Some of these adenomas function. Those that produce insulin may lead to hypoglycemia. Those that produce gastrin may lead to multiple gastric and duodenal ulcerations (Zollinger-Ellison syndrome). |
![]() |