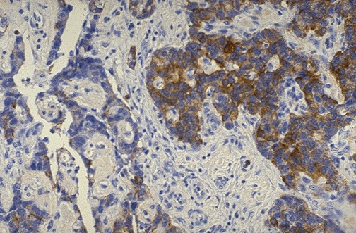
This is the microscopic appearance of an islet cell adenoma with an immunohistochemical stain for insulin. Thus, it is an insulinoma.