
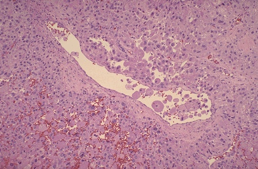
| This high power microscopic appearance of an adrenal cortical carcinoma demonstrates that the neoplasm closely resembles normal adrenal cortex. It is difficult to determine malignancy in endocrine neoplasms based upon cytology alone. Thus, invasion (as seen here in a vein) and metastases are the most reliable indicators. Luckily, most endocrine neoplasms are benign adenomas. |
![]() |