
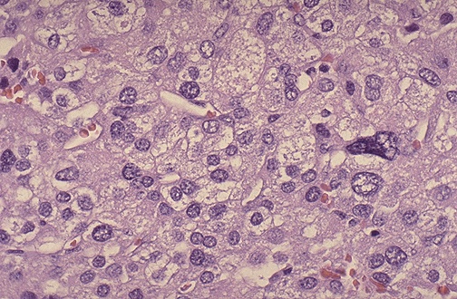
| Here is an adrenal cortical carcinoma seen microscopically at high power to demonstrate cellular pleomorphism with nuclear hyperchromatism. Both benign and malignant endocrine neoplasms demonstrate some degree of cellular pleomorphism, so it is not easy to tell benign from malignant on histologic grounds alone. The larger the neoplasm, the more likely it is malignant, but the best indicators are invasion and metastasis. |
![]() |