
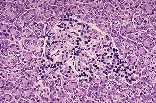
| This is an insulitis of an islet of Langerhans in a patient who will eventually develop type I diabetes mellitus. The presence of the lymphocytic infiltrates in this edematous islet suggests an autoimmune mechanism for this process. The destruction of the islets leads to an absolute lack of insulin that characterizes type I diabetes mellitus. |
![]() |