
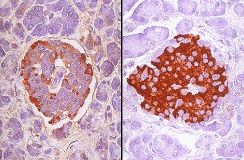
| Immunohistochemiccal staining can help identify the nature of endocrine function of the cells present in the islets of Langerhans. On the right, antibody to insulin has been employed to identify the beta cells. On the left, antibody to glucagon identifies the alpha cells. |
![]() |