
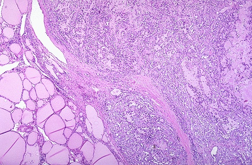
| At the center and to the right is a medullary carcinoma of thyroid. At the far right is pink hyaline material with the appearance of amyloid. These neoplasms are derived from the thyroid "C" cells and, therefore, can have neuroendocrine features such as secretion of calcitonin or other hormones. |
![]() |