
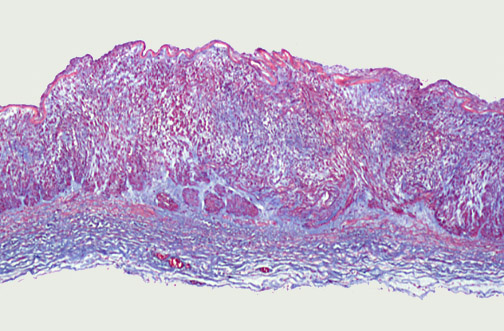
![]() | An uncommon form of vascular obstruction involving medium-sized muscular arteries is produced by fibromuscular dysplasia. In this condition, there are irregular areas of fibrous thickening, mostly involving the media, with an irregular arterial wall and focal lumenal narrowing. This process is seen here with trichrome stain at low magnification in a section through carotid artery. However, the renal arteries are most often affected, making this disease one of the surgically correctible causes for hypertension. This process is seen diagramatically below. |
![]() |