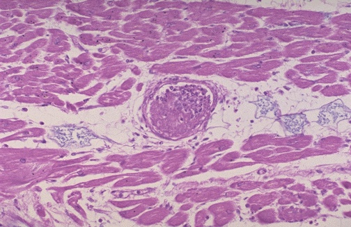
This fibrin and platelet thrombus in a small peripheral artery in the heart is characteristic for thrombotic thrombocytopenic purpura (TTP). For this reason, patients with TTP may die from heart failure.