
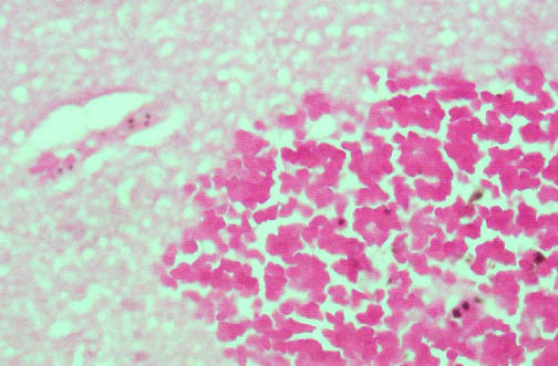
| Cerebral malaria caused by Plasmodium falciparum infection manifests as diffuse symmetric encephalopathy. Children may have seizures. Grossly there is edema and thee may be multiple small petechial hemorrhages (seen below), often within the corpus callosum, the internal capsule, and the cerebrum. The color can vary from pink (congestion) to gray (pigment). The P. falciparum organisms induce formation of erythrocyte surface adhesive proteins that cause the red cells to stick to vascular surfaces. Malarial hemozoin pigment (which is birefringent under polarized light) appears as black dots within the vessel. Pigment deposition appears within cerebral vessels after newly infected RBCs have reentered the circulation. [Image contributed by Dr. Ilan Hammel, Tel Aviv University] |
![]() |