
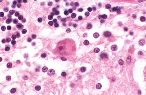
| The red cytoplasmic inclusion body seen here is a Negri body in a Purkinje cell of the cerebellum as a consequence of infection with the rabies virus. The virus tracks along nerves from the site of the bite from an infected animal back to the central nervous system. The hippocampal neurons and the cerebellar Purkinje cells are the places Negri bodies are most likely to be identified. |
![]() |