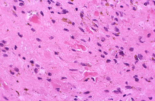
Astrocytomas that occur in children tend to be located in the posterior fossa, and these tumors can be cystic grossly and have globular dark pink Rosenthal fibers microscopically.