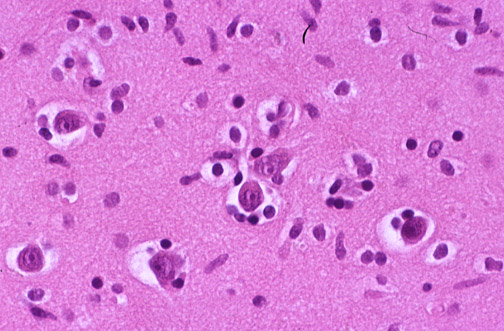
This low grade astrocytoma demonstrates "satellitism" of the neoplastic cells invading around the neurons in the cortex.