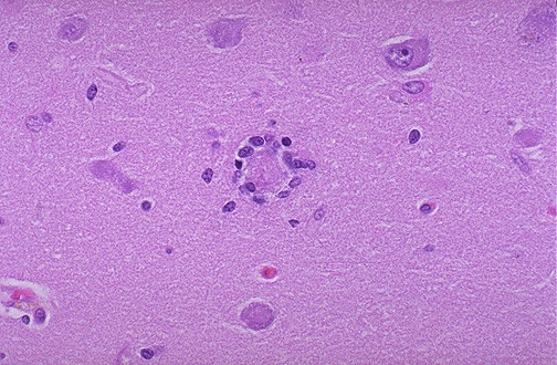
This is an example of neuronophagia in which a dying neuron is surrounded by microglial cells.