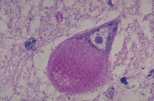
Here is a large swollen neuron typical of that seen in a storage diseases such as mucopolysaccharidoses (the SanFilipo type is shown here). [Image contributed by Jeannette J. Townsend, MD, University of Utah]