
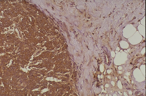
| This is positive immunohistochemical staining for cathepsin D (an acidic lysosomal protease) in a breast carcinoma. Note the cytoplasmic staining of the neoplastic cells on the left, as well as staining in the stroma to the right. There is a correlation between cathepsin D positivity and presence of metastases (particularly lymph nodes). Cathepsin D staining is more likely to be observed in non-ductal carcinomas. |
![]() |