
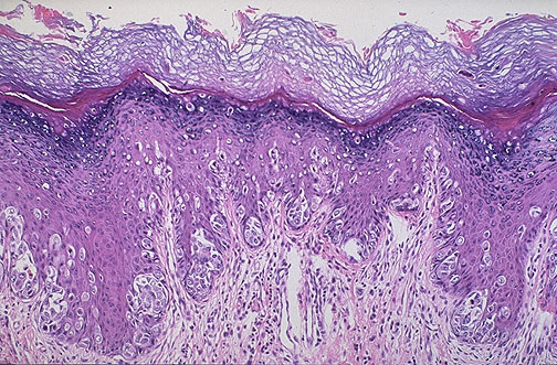
| Paget disease of the breast is shown here. Note the overlying hyperkeratosis of the skin, which helps to produce the rough, red, scaling appearance seen on examination of the skin of the breast, and there is often ulceration. The large cells infiltrating into the epidermis represent intraepithelial extension of an underlying ductal carcinoma in situ or invasive ductal carcinoma. |
![]() |