 |
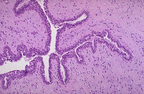
A phyllodes tumor of the breast is shown here. They arise from interlobular stroma, but unlike fibroadenomas are not common and are much larger. They are low-grade neoplasms that rarely metastasize. They are more cellular than fibroadenomas. Projections of stroma into the ducts create the leaf-like pattern for which these tumors are named (from the Greek word phyllodes meaning leaf-like). |