
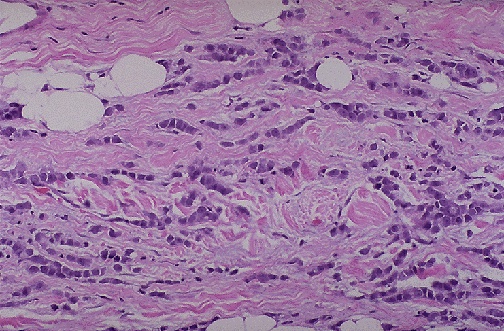
| Invasive lobular carcinoma of the breast is shown here. The cells characteristically infitrated single file. This neoplasm arises in the terminal ductules of the breast. About 5 to 10% of breast cancers are of this type. There is about a 20% chance that the opposite breast will also be involved, and many of them arise multicentrically in the same breast. |
![]() |