
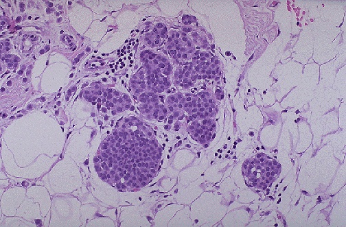
| Lobular carcinoma in situ (CIS) of the breast is seen here. Lobular CIS consists of a neoplastic proliferation of cells in the terminal breast ducts and acini. The cells are small and round. Though these lesions are low grade, there is a 30% risk for development of invasive carcinoma in the same or the opposite breast. |
![]() |