
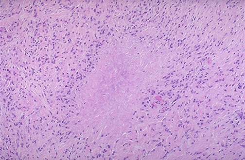
| Here is a rheumatoid nodule. Such nodules are seen in patients with severe rheumatoid arthritis and appear beneath the skin over bony prominences such as the elbow. They can occasionally appear in visceral organs. There is a central area of fibrinoid necrosis surrounded by pallisading epithelioid macrophages. and other mononuclear cells. |
![]() |