
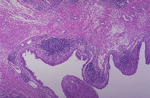
| This is the synovium in rheumatoid arthritis. There is chronic inflammation with lymphocytes and plasma cells that produce the blue areas beneath the nodular proliferations. This "pannus" is destructive and produces erosion of the articular cartilage, eventually destroying the joint. |
![]() |