
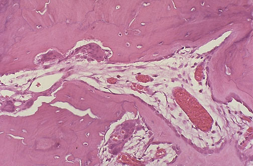
![]() | This is Paget disease of bone in which the mixed osteoclastic and osteoblastic stage is present. A line of osteoblasts is present forming new bone, but lacunae containing multinucleate osteoclasts are at the same time destroying bone. The result is a patchwork mosaic of bone without an evenly formed lamellar structure. This stage of Paget disease is preceded by a mainly lytic phase and is followed by a "burnt out" sclerotic phase. |
![]() |