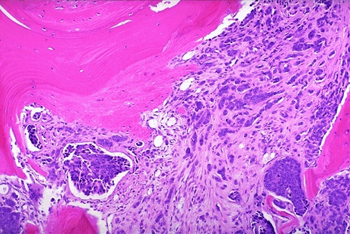
At high magnification, metastatic infiltrating ductal carcinoma of breast is seen within bone and filling the marrow cavity. There is reactive new bone with pale pink osteoid being laid down next to a bony spicule at the upper left.