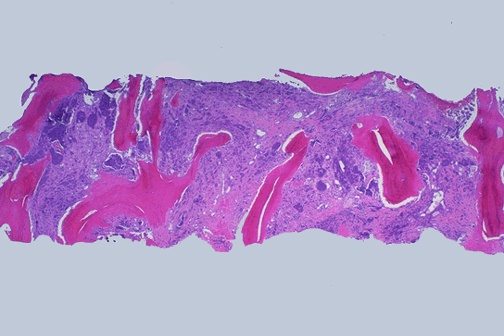
Here is a microscopic view of metastases to bone. Such areas appear as "hot spots" on radiographic scans. If the bone is markedly weakened by the metastasis, then a "pathologic" fracture is possible.