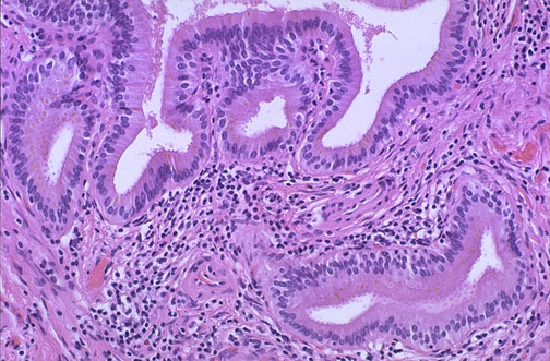
Chronic inflammatory cell infiltrates are seen here, typical for chronic cholecystitis. The gallbladder may be grossly enlarged, normal, or small in size, but there is unlikely to be obstruction with chronic cholecystitis.