
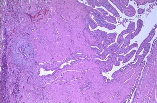
| Chronic cholecystitis almost always occurs in association with gallstones, though precipitation of bile alone may be sufficient to produce inflammation. There may not be a history of bouts of acute cholecystitis. Seen here is a thickened gallbladder wall along with outpouchings of mucosa (Rokitansky-Aschoff sinuses). |
![]() |