
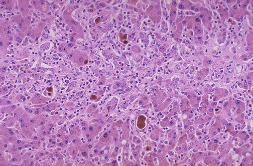
| Small brown-yellow bile plugs are seen here within hepatic canaliculi. The total serum bilirubin is increased and the patient demonstrates jaundice (icterus) on physical examination. The easiest place to see icterus is on the sclerae of the eyes. With obstruction or liver cell injury, the direct bilirubin is greater than indirect (unconjugated) bilirubin. With excessive RBC destruction (as with hemolysis), the indirect bilirubin is much greater than the direct bilirubin. |
![]() |