
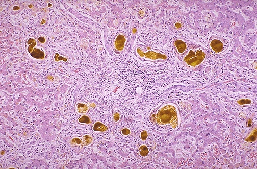
| The yellowish-green accumulations of pigment seen here with H&E stain are bile. Most often this accumulation is due to extrahepatic biliary tract obstruction. However, bile may also accumulate within the liver (called cholestasis) when there is hepatocyte injury. |
![]() |