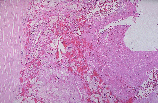
This is an atheromatous plaque in a coronary artery that shows endothelial denudation with disruption and overlying thrombus formation at the right. The arterial media is at the left.