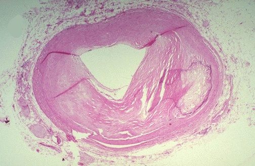
The degree of atherosclerosis is much greater in this coronary artery, and the lumen is narrowed by half. A small area of calcification is seen in the plaque at the right.