
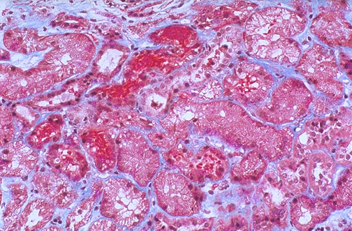
| This histologic section at medium power with trichrome stain highlights red blood cells grouping together in tubules to form casts. The tubular epithelium is also damaged, with a foamy appearance, and is the basis for the appearance of oval fat bodies in urine in this case. |
|