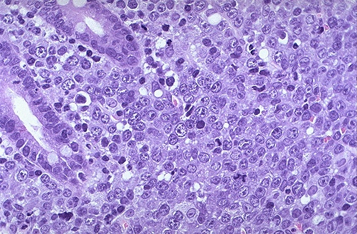
This is extranodal high grade non-Hodgkin's lymphoma involving the small intestine.