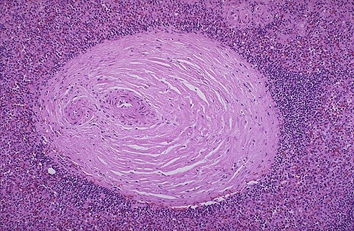
SLE is associated with a peculiar periarteriolar fibrosis in the spleen, as shown here.