
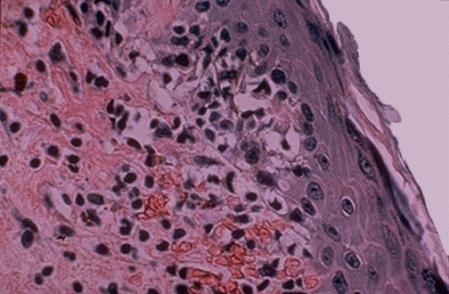
| A skin biopsy in the region of the rash reveals liquefactive necrosis of the basal layer at the dermal-epidermal junction along with dermal chronic inflammatory cell infiltrates (often perivascular) and extravasation of red blood cells (purpura) leading to the visible rash. |
|