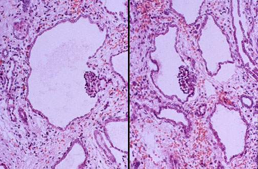
Very rarely, dominant polycystic kidney disease (DPKD) can manifest at birth, and microscopically the distinctive feature in the kidneys is a glomerular cyst in which a glomerulus is involved with the cystic change, as shown here.