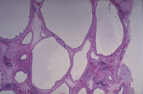
Microscopically at low power, multicystic renal dysplasia demonstrates irregular cysts with intervening loose stroma with occasional glomeruli and tubules.