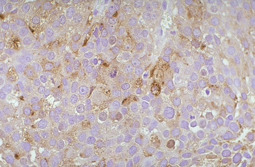
This is an immunoperoxidase stain with antibody against prostate specific antigen. The cells of this prostatic adenocarcinoma exhibit positive staining.