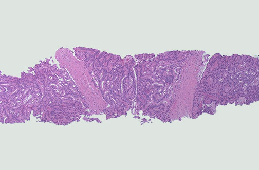
At low magnification, a needle biopsy of prostate is seen. The biopsy is filled with back-to-back glands with nuclei demonstrating hyperchromatism and pleomorphism. This is adenocarcinoma of prostate.