
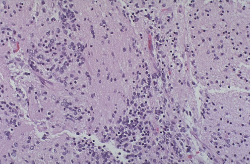
| A teratoma is judged to be "immature" with a variable propensity for malignant biologic behavior when there are primitive embryologic elements present. These are neuroectodermal elements, seen here as primitive neural cells (the larger blue ones looking like neuroblasts) with a neuropil background. The more such elements, the higher the grade. |
|